原形質分離(げんけいしつぶんり、英語:plasmolysis)とは、植物細胞の細胞壁と細胞膜が高張液下で分離する現象を指す。
仕組み
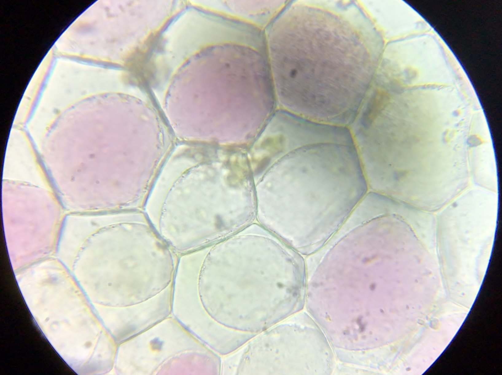
細胞膜は選択的透過性を持ち、水を通す。細胞外の浸透圧が細胞内の浸透圧よりも高い場合、細胞内から細胞外へ水が出て、細胞膜に覆われた部分(原形質)は収縮する。しかし細胞壁は変形しにくいので、細胞膜に覆われた部分のみが収縮し、細胞膜は細胞壁から分離する。
動物細胞には細胞壁がないので原形質分離は起こらない。単に全体が収縮するだけである。
原形質分離は、植物細胞における細胞膜の存在を示す現象でもある。動物細胞は細胞膜にのみ覆われているが、植物細胞はその外側に細胞壁がある。細胞膜は光学顕微鏡では確認できず、電子顕微鏡によってはじめて具体的に確認された構造である。そのため古くは、植物における細胞壁を植物の細胞膜と呼んだことがある。原形質分離は植物の細胞膜(細胞壁)の下に原形質の表面を覆う薄い膜が存在することを示す現象と考えられ、これを原形質膜と呼んだ。現在ではこれが植物の細胞膜であることがわかり、動物細胞・植物細胞とも薄い細胞膜に覆われていると認識されている。
水吸収との関わり
通常の状態では、細胞質は細胞壁の内部に充満しているだけでなく、それを内部から押して圧力をかけている。植物は光合成など常に水を必要としているから、細胞質は外界よりも浸透圧が高い状態を保っており、水は中に入ってこようとする。しかし細胞壁は変形しにくいから、それを押し返すので、この力は膨圧として細胞壁を内部から支える力として働いている。つまり外界と細胞質の浸透圧の差が水の入ろうとする力で、膨圧はそれを押し返す力として働き、両者の差が実際の吸水力である。つまり、高張液に入れると細胞の吸水力は上がり、低張液に入れて、各細胞が緊張した状態を保ったときは、吸水力は下がるということが言える。
細胞を等張液に浸したときにみられる細胞膜が細胞壁から分離するかしないかの限界の状態を限界原形質分離という。また、低張液や蒸留水に浸したときに細胞が吸水して緊張状態に回復する現象を原形質復帰と呼ぶ。
植物は膨圧によって体を支えている。そのため、水分不足で膨圧が低下するしたとき、植物体を外側から見ると、しおれている状態に見える。このとき、原形質分離が起きているわけではなく、細胞膜は細胞壁にくっついたまま、細胞壁ごと潰れている。すなわち、原形質分離は自然界ではめったに起こらないことであり、しおれと原形質分離には関係性はない。
実験
原形質分離は細胞と浸透圧に関わるわかりやすい現象として教育の過程でも良く取り上げられ、日本では現在は高校の生物で扱われる。例えば植物の表皮細胞をショ糖溶液に浸すなどの形で生徒実験が行われる。その際、ユキノシタは細胞質がアントシアンによって赤く色づいているので、分離の状態が観察しやすいとしてよく用いられるほか、ムラサキツユクサのおしべの毛の細胞やアオミドロの大型の細胞なども向く。 また、オオカナダモもよく使われている。
脚注
関連項目
- ユキノシタ
- 吸水力
- 膨圧
![]()


![]()
